¿ø¹«°ú 570.0005 / ÀÀ±Þ½Ç 570.0119
ÆòÀÏ¿ÀÀü 08:30 ~ ¿ÀÈÄ 05:30
Åä¿äÀÏ¿ÀÀü 08:30 ~ ¿ÀÈÄ 12:30
Á¡½É½Ã°£ ¿ÀÈÄ 12:30 ~ ¿ÀÈÄ 01:30
¡ØÁø·á½Ã°£Ç¥´Â °¢ Áø·á°ú »çÁ¤¿¡µû¶ó Á¢¼ö°¡ Á¶±â ¸¶°¨µÉ ¼ö ÀÖ½À´Ï´Ù.

°üÀý°æ °Ë»ç ¹× ¼ö¼úÀº ȯÀÚÀÇ ÇǺθ¦ 1cm¹Ì¸¸ÀÇ ¸Å¿ì ÀÛÀº Å©±â·Î Àý°³ÇÏ°í ¸î °³ÀÇ ±¸¸ÛÀ» ³»¾î °üÀýÀÇ ³»ºÎ¿¡ ÀÛÀº Ä«¸Þ¶ó¸¦ »ðÀÔÇÏ¿© °üÂûÇϰí Áø´ÜÇϸç, ¸¸¾à ÀÌ»ó º´º¯ÀÌ ¹ß°ßµÇ¾úÀ» °æ¿ì ¿©·¯ °¡ÁöÀÇ °üÀý°æ ¼ö¼ú±â±¸¸¦ ÀÌ¿ëÇÏ¿© °£´ÜÈ÷ ¼ö¼úÇÒ ¼ö ÀÖ´Â ¼ö¼ú¹æ¹ýÀÔ´Ï´Ù.
¹«¸°üÀýÀ» ºñ·ÔÇÏ¿© ¹ß¸ñ°üÀý, ¾î±ú°üÀý ¹× ÆÈ²ÞÄ¡ °üÀý µî¿¡µµ µÎ·ç Àû¿ëµÇ³ª, ƯÈ÷ ¹«¸°üÀý ÁúȯÀº °üÀý°æ ¸¸À¸·Îµµ 99%ÀÌ»óÀÇ ³ôÀº Áø´ÜÀ²À» ³ªÅ¸³»¸ç, ÅðÇ༺ °üÀý¿°À̳ª ·ù¸¶Æ¼½º¼º °üÀý¿° µî ½ºÆ÷Ã÷·Î ÀÎÇÑ °üÀý ¹× Àδë¼Õ»ó¿¡µµ °üÀý°æ ¼ö¼úÀÌ ³Î¸® »ç¿ëµË´Ï´Ù.

'¿À½Ê°ß'À̶ó´Â ¸»À» ÇÑÀÚ¾î·Î Ç®¾îº¸¸é '50¼¼ÀÇ ¾î±ú'¶ó´Â ¸»·Î½á ±× À¯·¡´Â ÀϺ»½ÄÀ¸·Î "³ªÀ̰¡ µé¾î ¾î±ú°¡ ¾ÆÇÁ´Ù"¶ó´Â ¸» Á¤µµÀÇ Ç¥ÇöÀ¸·Î º¼ ¼ö ÀÖ½À´Ï´Ù. µû¶ó¼ '¿À½Ê°ß'À̶ó´Â ¸»Àº º´¸íÀÌ µÉ ¼ö ¾ø½À´Ï´Ù. Ç㸮ÅëÁõÀ» ¿äÅëÀ̶ó°í ºÎ¸£Áö¸¸ ¿äÅëÀÌ º´¸íÀÌ µÉ ¼ö ¾ø´Â °Í°ú °°½À´Ï´Ù.
Áö±Ý±îÁö ÁÖÀ§¿¡¼ ÈçÈ÷ ¾î±ú ÅëÁõÀ» ÀÇ·Ê '¿À½Ê°ß'À̶ó°í ºÎ¸£¸ç ½Ã°£ÀÌ °¡¸é ÀúÀý·Î ÁÁ¾ÆÁú °ÍÀ̶ó°í ¹æÄ¡ÇÏ¿© °á±¹ µÚ´Ê°Ô ¾ÇȵǾî Å«¼ö¼ú¿¡±îÁö À̸£´Â °æ¿ì¸¦ ÈçÇÏ°Ô Á¢ÇÏ°Ô µË´Ï´Ù.
Åë°èÀûÀ¸·Î Àü Àα¸¸¦ µÎ°í º¼ ¶§ ¾à 70%Á¤µµ´Â ¾î±úÁúȯÀ» °¡Áö°í ÀÖ´Ù°í ÇÕ´Ï´Ù. ¶ÇÇÑ, ¼ºÀÎÀÇ °æ¿ì´Â ¾à 60% Á¤µµ¿¡¼ ¾î±úÅëÁõÀ» Çѹø ÀÌ»ó °æÇèÇÏ´Â °ÍÀ¸·Î ¾Ë·ÁÁ® ÀÖÀ¸¸ç, ÀÌ´Â Ç㸮ÅëÁõÀÇ ºóµµ¿Í À¯»çÇÑ Á¤µµÀÔ´Ï´Ù. ÀÌ¿Í °°ÀÌ ³ôÀº ºóµµ¸¦ º¸ÀÌ´Â ¾î±úÅëÁõ¿¡¼ ½ÇÁ¦·Î Á߳⿡ °¡Àå ÈçÇÑ ÁúȯÀº '¾î±ú Ãæµ¿ ÁõÈıº' ¶Ç´Â '¾î±ú ÈûÁÙ ÆÄ¿'À̶ó°í ºÎ¸£´Â ¾î±ú ÈûÁÙÀÇ ÅðÇ༺ ÁúȯÀÔ´Ï´Ù.
'¿À½Ê°ß'À̶ó´Â Ç¥ÇöÀÌ ¾î±úÁúȯ Áß¿¡ ÇϳªÀÎ 'µ¿°á°ß(À¯Âø¼º °üÀý³¶¿°)'À» ÁöĪÇÏ´Â °Í¿¡ ±âÀÎÇÑ ¿ÀÇØ·Î 'µ¿°á°ß'ÀÇ °æ¿ì ȯÀÚ¿¡ µû¶ó Â÷ÀÌ´Â ÀÖÀ¸³ª Ưº°ÇÑ Ä¡·á ¾øÀÌ È¸º¹µÇ´Â °æ¿ì°¡ Àֱ⠶§¹®¿¡ Áß³âÀÇ ¾î±ú ÅëÁõÀº ±×³É µÎ¾îµµ ÁÁ¾ÆÁú ¼ö ÀÖ´Ù´Â À߸øµÈ »ó½ÄÀÌ »ý°Ü ÀÖ½À´Ï´Ù. ¸¹Àº ȯÀÚµéÀÌ Á߳⿡ ¹ß»ýÇÏ´Â ¾î±ú ÅëÁõÀ» '¿À½Ê°ß' ÀÌ¶ó ¿©±â°í ÅëÁõÀ» Âü°í º´À» Ű¿ì´Â °æ¿ì°¡ ¸¹Àº °ÍÀÌÁö¿ä. ÇÏÁö¸¸ Áß³âÀÇ ¾î±ú Áúȯ Áß¿¡´Â Àû±ØÀûÀÎ Ä¡·á¸¦ ¿äÇÏ´Â °æ¿ìµµ ¸¹¾Æ ÁÖÀǸ¦ ¿äÇÕ´Ï´Ù.
¾î±ú ÁúȯÀ̶ó°í ¸ðµÎ ¼ö¼úÀ» ¹Þ¾Æ¾ß ÇÏ´Â °ÍÀº ¾Æ´Ï°í »óÅ¿¡ µû¶ó ¾à¹° Ä¡·á, ÁÖ»çÄ¡·á µî ºñ¼ö¼ú Ä¡·á¸¸À¸·Îµµ ±â´ÉÀ» µÇ»ì¸± ¼ö ÀÖ´Â °æ¿ì°¡ ¸¹½À´Ï´Ù. ´Ù¸¸, ¾î±ú ÈûÁÙÆÄ¿ µî ½É°¢ÇÑ ¼Õ»óÀÌ ÀÖ´Ù¸é ¼ö¼úÀû Ä¡·á°¡ ÇÊ¿äÇÒ ¼ö ÀÖ½À´Ï´Ù. µû¶ó¼ ¾î±ú ÅëÁõÀÇ ¿øÀÎÀÌ µÇ´Â ¸¹Àº ÁúȯÀÌ ÀÖÀ½À» ÀÌÇØÇϰí Ä¡·á¹æ¹ýÀÇ °áÁ¤¿¡ ÀÖ¾î¼ ¿ì¼± Á¤È®ÇÑ Áø´ÜÀÌ ÇÊ¿äÇÏ´Ù´Â Á¡À» ±â¾ïÇÏ½Ã±æ ¹Ù¶ø´Ï´Ù.
¾î±úÅëÁõÀ» È£¼ÒÇÏ´Â ¸¹Àº ȯÀÚµéÀÌ Á¤È®ÇÑ Áø´Ü ¾øÀÌ Ä¡·á¸¦ ¹Þ´Ù°¡ µÚ´Ê°Ô Á¤Çü¿Ü°ú¸¦ ¹æ¹®ÇÏ°Ô µÇ´Âµ¥, ¸¹Àº ȯÀÚµéÀº ¼ö¼úÇϱⰡ °Ì³ª¼ ȤÀº °Ë»çÇϱⰡ ½È¾î¼¶ó°í ¸»ÇÏ´Â °ÍÀ» µè°Ô µË´Ï´Ù. ÇÏÁö¸¸ Á¤Çü¿Ü°ú´Â ¹«Á¶°Ç ¼ö¼ú°ú °Ë»ç¸¸À» À§ÇÑ °÷ÀÌ ¾Æ´Ï¶ó ÅëÁõ¿Ïȸ¦ ¸ñÀûÀ¸·Î ¿ì¸® ¸ö¿¡ ÀÚ¿¬ Ä¡À¯·ÂÀ» ±Ø´ëȽÃŰ´Â ¸ðµç ºñ¼ö¼úÀû Ä¡·á¸¦ ¿øÄ¢À¸·Î ½ÃÇàÇϰí ÀÖÀ¸¸ç, ²À ÇÊ¿äÇÑ °æ¿ì ¼ö¼úÀû Ä¡·á±îÁöµµ ¹ÞÀ» ¼ö ÀÖ´Â °÷ÀÔ´Ï´Ù.
´Ù½Ã ¸»ÇØ Á¤Çü¿Ü°ú Àü¹®ÀǷμ °®°í Àִ dzºÎÇÑ ÇØºÎÇÐÀû Áö½Ä°ú ¾î±ú°üÀýÀÇ ±â´É ¹× »ý¿ªÇÐÀû ÀÌÇØ¸¦ ¹ÙÅÁÀ¸·Î Áø´ÜÀ» ³»¸®°í Â÷º°ÈµÈ ÅäÅ»Äɾ °¡´ÉÇÑ °÷ÀÔ´Ï´Ù. µû¶ó¼ ¾î±ú ÅëÁõÀ¸·Î Á¤Çü¿Ü°ú¸¦ ¹æ¹®ÇÏ½Å´Ù¸é ´ÜÁö ¼ö¼ú¸¸ ÇÏ´Â °ÍÀÌ ¾Æ´Ï¶ó Áø´ÜÀ» ÅëÇØ ºñ¼ö¼úÀû Ä¡·á¿¡¼ ¼ö¼úÀû Ä¡·á±îÁö °¡´ÉÇÑ ¾î±úÁöÅ´À̸¦ Çö´ëº´¿ø Á¤Çü¿Ü°ú¿¡¼ ¸¸³¯ ¼ö ÀÖ½À´Ï´Ù.

°ñ´Ù°øÁõÀ̶õ WHO¿¡ ÀÇÇØ "°ñ·®ÀÇ °¨¼Ò¿Í ¹Ì¼¼±¸Á¶ÀÇ ÀÌ»óÀ» Ư¡À¸·Î ÇÏ´Â Àü½Å°è °ñ°ÝÁúȯÀ¸·Î °á°úÀûÀ¸·Î »À°¡ ¾àÇØÁ®¼ ºÎ·¯Áö±â ½¬¿î »óŰ¡ µÇ´Â Áúȯ"À¸·Î Á¤ÀÇÇϰí ÀÖ´Ù. Ãà¾àÇÏ¸é °ñ°µµÀÇ ¾àÈ·Î °ñÀýÀÇ À§Ç輺ÀÌ Áõ°¡µÇ´Â °ñ°Ý°è ÁúȯÀÌ´Ù. °ñ°µµ´Â °ñ·®(quantity)°ú °ñÁú(quality)¿¡ ÀÇÇØ °áÁ¤µÈ´Ù. ÇöÀç ÃøÁ¤µÇ´Â °ñ´Ù°øÁõÀÇ ÃøÁ¤Àº °ñ¹Ðµµ¸¸À» ÃøÁ¤ÇÏ¿© Áø´ÜÇϰí ÀÖ´Ù.
50¼¼ ÀÌ»ó °ñ´Ù°øÁõ ȯÀÚÀÇ °ú¹Ý°ú 70¼¼ ÀÌ»ó °ñ´Ù°øÁõ ȯÀÚÀÇ ´ëºÎºÐ¿¡¼ Ȱµ¿ÇÑÀûÀÎ »îÀÌ Á¦ÇѵȴÙ. ƯÈ÷ °ñ´Ù°øÁõ¼º °í°üÀý°ñÀýºÎ 50%´Â ±×ÀüÀÇ È°µ¿·ÂÀ¸·Î ȸº¹µÉ ¼ö ¾ø°í 25%´Â ¿À·£ ±â°£ ¿ä¾çÀ̳ª º¸È£°¡ ÇÊ¿äÇϸç 1³â ³» »ç¸Á·üÀº Æò±Õ 20%°¡ µÈ´Ù.
¿©¼ºÀÌ °í°üÀý°ñÀý·Î »ç¸ÁÇÒ À§ÇèÀº 2.8%·Î À¯¹æ¾ÏÀ¸·Î ÀÎÇÑ »ç¸Á·ü°ú °°À¸³ª Àڱ󻸷¾ÏÀÇ »ç¸Á·üº¸´Ù 0.7%º¸´Ù 4¹è³ª ³ô´Ù.
À̽ʴë Áß¹Ý ¶Ç´Â »ï½Ê´ë ÃʹÝÀÇ Ã»Àå³â ½Ã±â¿¡ ÀÏ»ý Áß ÃÖ´ë°ñ·®ÀÌ Çü¼ºµÇ°í ±× ÀÌÈÄ´Â ¿¬·É¿¡ µû¶ó Á¡Â÷ÀûÀ¸·Î °ñ¼Ò½ÇÀÌ ÁøÇàµÈ´Ù.

°ñ´Ù°øÁõÀÇ ÁÖ¿äÇÑ µÎ°¡Áö À§ÇèÀÎÀڴ ù°, ûÀå³â±â¿¡ ³·°Ô Çü¼ºµÈ ÃÖ´ë °ñ·®. µÑ°, ³ëÈ ¹× Æó°æÀ¸·Î ÀÎÇÑ ºü¸¥ °ñ¼Ò½ÇÀÌ´Ù. ±× À̿ܿ¡ Èí¿¬, °úµµÇÑ ¾ËÄڿü·Ãë, ¿îµ¿ºÎÁ·, ÀúüÁß ¶Ç´Â ¾à¹° µîÀÇ ÀÎÀÚ°¡ ÀÖ´Ù.
°á·ÐÀûÀ¸·Î °ñ´Ù°øÁõÀº Áõ»óÀÌ ¾ø´Â Àü½ÅÁúȯÀ¸·Î ¿¬·ÉÀÌ Áõ°¡ÇÔ¿¡ µû¶ó ±× ºóµµ¿Í Á¤µµ°¡ Áõ°¡ÇϹǷΠ±Ý¿¬, ÀýÁÖ, °í¸¥ À½½Ä¹° ¼·Ãë, °È±â µîÀÇ À¯»ê¼Ò ¿îµ¿°ú ±Ù·Â°È¸¦ À§ÇÑ ¿îµ¿ µîÀÇ Æò»ý°ü¸®°¡ ÇÊ¿äÇÏ´Ù.



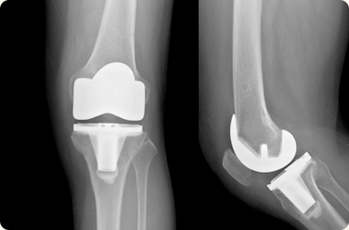
¹«¸ °üÀý¿¡ ¹ß»ýÇÑ °üÀý¿°À¸·Î ÀÎÇÏ¿© °üÀý ¿¬°ñÀÇ ¾ø¾îÁü¿¡ µû¶ó ½ÉÇÑ ÅëÁõÀÌ ³ªÅ¸³¯ ¶§, ¼ö¼ú Ä¡·á¹ýÀ¸·Î ´â¾ÆÁø ¿¬°ñ¸éÀ» Á¦°ÅÇÑ µÚ Àΰø °üÀý·Î ´ëüÇÏ´Â ¹æ¹ýÀÔ´Ï´Ù.
ÀÚµ¿Â÷ÀÇ ³»ºñ°ÔÀ̼ǰú ºñ½ÁÇÏ°Ô ¼ö¼úÇÏ´Â °úÁ¤¿¡¼ ¼ö¼ú ºÎÀ§ÀÇ Á¤È®ÇÑ À§Ä¡¸¦, ³»ºñ°ÔÀÌ¼Ç ½Ã½ºÅÛ È¸é¿¡¼ ¾Ë·ÁÁÖ´Â ±â±âÀÔ´Ï´Ù.

¹«¸ Àΰø°üÀý Àüġȯ¼úÀº Àΰø °üÀýÀ» Á¤È®ÇÑ À§Ä¡¿¡ »ðÀÔÇÏ´Â °ÍÀÌ ¸Å¿ì Áß¿äÇÕ´Ï´Ù. ±âÁ¸ÀÇ ÀϹÝÀûÀÎ ¼ö¼ú¹æ¹ýÀº ÀÇ»çÀÇ ÆÇ´ÜÀ¸·Î¸¸ »ðÀÔ¹°ÀÇ À§Ä¡ °áÁ¤À» ÇÏ¿´À¸³ª, À̹ø¿¡ µµÀÔµÈ ³»ºñ°ÔÀÌ¼Ç ½Ã½ºÅÛÀ» »ç¿ëÇÏ¸é º¸´Ù Á¤È®ÇÏ°Ô À§Ä¡¸¦ ÆÄ¾ÇÇÏ°í »ðÀÔÇÒ ¼ö ÀÖ½À´Ï´Ù.
¿ì¸® º´¿ø¿¡¼´Â ³»ºñ°ÔÀÌ¼Ç ½Ã½ºÅÛ µµÀÔ ¹× ¼ö¼ú½Ç Áõ¡¤°³ÃàÀ» ÅëÇØ º¸´Ù ¾ÈÀüÇÑ ¼ö¼úȯ°æÀ» È®º¸ÇÏ¿´À¸¸ç, Æí¸®ÇÑ ÀÔ¡¤Åð¿ø ÀýÂ÷¿Í Ä¡·á°á°ú¸¦ ³ªÅ¸³»°í ÀÖ½À´Ï´Ù.

µð½ºÅ©´Â µüµüÇÑ Ã´Ãß»À¿Í ôÃß»À »çÀÌ¿¡¼ ¿ÏÃæ¿ªÇÒÀ» ÇÏ´Â ¼öºÐÀÌ ¸¹ÀÌ Æ÷ÇÔµÈ Á¶Á÷À¸·Î¼ ¹«°Å¿î ¹°°ÇÀ» µé¾î¿Ã¸± ¶§ ÈûÀÌ ÁýÁߵǴ °÷ÀÔ´Ï´Ù. ÈçÈ÷ ¸»ÇÏ´Â Ç㸮µð½ºÅ© º´À̶õ µð½ºÅ© Á¶Á÷ÀÌ ÆÄ¿µÇ¾î Å»ÃâµÈ µð½ºÅ©°¡ µÚ·Î ¹Ð·Á³ª¿À¸é ±× ÈĹ濡 À§Ä¡ÇÑ ½Å°æ±ÙÀ̳ª ô¼ö°æ¸·À» ¾Ð¹ÚÇÏ¿© ÅëÁõÀ» ÀÏÀ¸Å°´Â ÁúȯÀÔ´Ï´Ù. ÁÖ·Î 20´ë ÃʹݺÎÅÍ ¹ß»ýÇϴµ¥, 30´ë¸¦ ÀüÈÄÇÏ¿© ¸¹ÀÌ ³ªÅ¸³ª¸ç, 50´ë ÀÌ»ó °í ¿¬·ÉÃþÀÇ °æ¿ì¿¡´Â µå¹°°Ô ¹ß»ý ÇÕ´Ï´Ù.

¸ñµð½ºÅ© Áúȯ¿¡´Â ¸ñÀÇ Ã´Ãß»À(°æÃß) »çÀÌÀÇ µð½ºÅ© Á¶Á÷ÀÌ Æ¢¾î³ª¿Í¼ ½Å°æÀ» ÀÚ±ØÇÏ´Â ¿¬¼ºÃß°£ÆÇ°ú °æÃß µÚÂÊ¿¡¼ ±º´õ´õ±â »À°¡ Àڶ󳪼 ½Å°æÀ» ÀÚ±ØÇÏ´Â °æ¼ºÃß°£ÆÇÀÇ µÎ °¡Áö À¯ÇüÀÌ ÀÖ½À´Ï´Ù.
µð½ºÅ©°¡ »ý±â´Â °¡Àå Å« ¿øÀÎÀº ÀÏ»ó»ýȰ ¼Ó¿¡¼ À߸øµÈ ÀÚ¼¼½À°ü ¶Ç´Â °¡º¿î »ýȰºÎ»ó, ¿îµ¿ Áß ºÎ»ó ¶§¹®ÀÔ´Ï´Ù. Ã¥À» º¸°Å³ª ¼ÕÀ¸·Î ÀÛ¾÷À» ÇÏ´Â µîÀÇ ´ëºÎºÐÀÇ µ¿ÀÛÀÌ °í°³¸¦ ¼÷ÀÌ´Â ÀÚ¼¼¸¦ Æ÷ÇÔÇϴµ¥ ÀÌ·¯ÇÑ »ýȰ ¾ç½ÄÀÌ Á÷Á¢ ¸ñÀ» ´ÙÄ¡°Ô ÇÏ´Â °¡Àå Å« ¿øÀÎÀ̶ó ÇÒ ¼ö ÀÖ½À´Ï´Ù.
50~60´ë »çÀÌ¿¡ ½ÃÀÛµÇ¸ç ¿©¼º¿¡°Ô È£¹ßÇÏ´Â °æÇâÀ» º¸ÀÌ´Â ÁúȯÀÔ´Ï´Ù. ôÃßÀÇ ÅðÇ༺ °üÀý¿°ÀÌ ÁøÇàµÇ¾î ôÃ߸¦ ±¸¼ºÇϰí ÀÖ´Â ±¸Á¶¹°µéÀÇ ºñÈÄ,Áõ½Ä µîÀ¸·Î ôÃß ½Å°æÀÌ Áö³ª°¡´Â °ø°£(ôÃß°ü)ÀÌ Á¼¾ÆÁ® ½Å°æÀÌ ºñÁ¤»óÀûÀ¸·Î ´¸®°Ô µÇ´Â ÁúȯÀÔ´Ï´Ù.
Ç㸮µð½ºÅ©³ª Ç㸮 ÅëÁõÀ¸·Î ÀÎÇØ¼ Ç㸮°¡ Èְųª, ±Á¾îÁö°í ¾ûµ¢À̸¦ »©°í °È´Â °æ¿ì°¡ ÀÖ½À´Ï´Ù. ÀÌ °æ¿ì´Â Á¤È®ÇÑ Áø´ÜÀ» ÅëÇØ¼ ¿øÀÎÀÌ µÇ´Â º´ ÀÚü¸¦ Ä¡·áÇϸé ÀÚ¿¬½º·´°Ô ±³Á¤ÀÌ µÇ±âµµ ÇÕ´Ï´Ù.
Áø·á¿Í Á¤¹Ð °ËÁøÀ» ÅëÇØ¼ ȯÀÚºÐÀÌ ¾î´À °æ¿ì¿¡ ÇØ´çÀÌ µÇ´ÂÁö ¾Ë¾Æ º¸´Â °ÍÀÌ Áß¿äÇÕ´Ï´Ù. ƯÈ÷, Ç㸮°¡ Ʋ¾îÁö°í ´Ù¸®°¡ Àú¸° Áõ»óÀÌ µ¿¹ÝµÉ °æ¿ì Ç㸮°¡ Ʋ¾îÁ®¼ ¾ÆÇ °ÍÀÌ ¾Æ´Ï¶ó µð½ºÅ©¿¡ ½Å°æÀÌ ´·Á¼ ´Ù¸®°¡ Àú¸®¸ç º»´ÉÀûÀ¸·Î ´ú ´¸®´Â ¹æÇâÀ¸·Î ¸öÀ» Ʋ°Ô µÇ¾î º¯ÇüÀÇ °á°ú°¡ ÀÖ´Â °ÍÀÔ´Ï´Ù. »ó½ÄÀûÀ¸·Î ÀÌ·² °æ¿ì¿¡´Â ¿Ü°ü»óÀÇ ±³Á¤ Ä¡·á´Â ¿ÀÈ÷·Á ½Å°æÀ» ´©¸£°Ô µÇ¹Ç·Î º´À» ¾ÇȽÃŰ°Ô µË´Ï´Ù. ÀϽÃÀûÀÎ ±³Á¤ÀÌ ÇÊ¿äÇÑ °ÍÀÌ ¾Æ´Ï¶ó Ç㸮 µð½ºÅ©ÀÇ Ä¡·á°¡ ÇÊ¿äÇÏ¸ç ¿Ã¹Ù¸¥ Ä¡·á ÀÌÈÄ¿¡´Â Ʋ¾îÁø Ç㸮°¡ ¹Ù¸¥ ÀÚ¼¼·Î µ¹¾Æ¿À°Ô µË´Ï´Ù
¿ì¸® ¸öÀÇ °æÃß´Â Á¤»óÀûÀ¸·Î ¾ÕÂÊÀÌ º¼·ÏÇÑ "C"ÀÚ ¸ð¾çÀ» Çϰí ÀÖ½À´Ï´Ù. ÈçÈ÷ ºÎ¸£´Â °ÅºÏ¸ñ, ÀÏÀÚ¸ñÀ̶ó´Â ¿ë¾î´Â ƯÁ¤ÇÑ Áúº´ÀÇ À̸§À̶ó±â º¸´Ù´Â ¸ñ»À¸¦ ´Ü¼ø X-ray·Î ÃÔ¿µÇϰųª ¿·¿¡¼ º¸¾ÒÀ» ¶§ ¸ñÀÌ Á¤»ó CÀÚÇüÀ¸·Î º¸ÀÌ´Â ´ë½Å ¸¶Ä¡ °ÅºÏÀ̰¡ ¸ñÀ» »©°í ÀÖ´Â µíÇÑ ÀÏÀÚÇüÅ·Πº¸ÀÌ´Â µ¥¿¡¼ À¯·¡ÇÑ ¸»ÀÔ´Ï´Ù. ÀÌ·¯ÇÑ Á¤»ó Ä¿ºê¸¦ À¯ÁöÇϱâ À§Çؼ´Â °Ç°ÇÑ °æÃß°¡ ÀûÀýÈ÷ µÎºÎ¸¦ ¹ÞÄ¡°í ÀÖ¾î¾ß ÇÏ¸ç °ÇÑ °áÇÕ Á¶Á÷ÀÌ µÎºÎÀÇ ¹«°Ô¸¦ Áß·ÂÀ¸·ÎºÎÅÍ ÁöÅÊÇØ¾ß ÇÏ¸ç ¸¶Áö¸·À¸·Î ÁÖ·Î ÈİæºÎ±ÙÀ°ÀÌ °æÃßÀÇ Ä¿ºê°¡ ¾ÕÂÊÀ¸·Î ÆìÁö´Â °ÍÀ» ưưÇÏ°Ô ºÙÀâ¾Æ ÁÖ¾î¾ß ÇÕ´Ï´Ù.
ÁÁÁö ¾ÊÀº ÀÚ¼¼¸¦ Àå½Ã°£ À¯ÁöÇϰųª ¹Ýº¹ÀûÀ¸·Î ÃëÇϰųª ÀÛ¾÷½Ã ºÎÁ·ÇÑ È޽Ľð£ µîÀº °æÃß³ª ¾î±ú ÁÖÀ§ÀÇ ±ÙÀ°À» ºÒÇÊ¿äÇÏ°Ô ±äÀå½ÃÄÑ ±ÙÀ°³» ¾Ð·ÂÀ» Áõ°¡½ÃÄÑ ÅëÁõÀ» À¯¹ßÇϰí À̰ÍÀÌ ¸¸¼ºÈ°¡ µÉ °æ¿ì¿¡´Â Á¤»óÀûÀÎ °æÃßÀÇ °î¼±¸¶Àú º¯È½ÃŰ°Ô µË´Ï´Ù. ƯÈ÷, ÄÄÇ»ÅÍ ¸ð´ÏÅ͸¦ ±¸ºÎÁ¤ÇÏ°Ô ¸ñÀ» ¾ÕÀ¸·Î »©°í º»´ÙµçÁö Ã¥À» º¸°Å³ª °øºÎÇÒ ¶§ ¿õÅ©¸®°í ÇÏ´Â ½À°ü µîÀÌ °¡Àå ÈçÈ÷ º¸´Â ÁÁÁö ¾ÊÀº ÀÚ¼¼ÀÔ´Ï´Ù.
¿äÅë(Ç㸮ÅëÁõ)Àº Àü±¹¹ÎÀÇ 70% ÀÌ»óÀÌ Æò»ý¿¡ ÇѹøÂëÀº ¾Î°Ô µÇ´Â ÅëÁõÀÔ´Ï´Ù. ÀÌ·± ¿äÅëÀ» ÀÏÀ¸Å°´Â ¿øÀÎÀº ¾ÆÁÖ ´Ù¾çÇÕ´Ï´Ù. °ñ´Ù°øÁõ¼º ¾Ð¹Ú°ñÀý, ¿äÃß ¿°ÁÂ, ¿äÃß Ãß°£ÆÇ Å»ÃâÁõ, ôÃßÀü¹æÀüÀ§Áõ, ôÃß°ü ÇùÂøÁõ, ÅðÇ༺ µð½ºÅ©Áúȯ(DDD), ôÃß¿°, µð½ºÅ©¿°, ôÃßÈĸ¸Áõ, ôÃßÃø¸¸Áõ, ôÃßÁ¾¾ç µî ¼ö¸¹Àº ¿øÀε鿡 ÀÇÇØ¼ ¿äÅëÀÌ ¹ß»ýÇÒ ¼ö ÀÖ½À´Ï´Ù.
ÈçÈ÷ »ç¶÷µéÀº ¿äÅëÀÌ ÀÖÀ¸¸é µð½ºÅ©¸¦ ¸ÕÀú »ý°¢ÇÕ´Ï´Ù(¿äÅë=µð½ºÅ©). ±×·¯³ª µð½ºÅ©´Â ôÃ߸¦ ±¸¼ºÇÏ´Â ±¸Á¶¹°ÀÇ À̸§ÀÏ »ÓÀ̸ç Á¤½Ä º´¸íÀº µð½ºÅ© Å»ÃâÁõ ¶Ç´Â Ãß°£ÆÇ Å»ÃâÁõÀ̶ó°í ÇÏ´Â ÀÇÇпë¾î¸¦ ¾¹´Ï´Ù. ±×¸®°í ÀÌ µð½ºÅ© Å»ÃâÁõÀº ¿äÅëÀ» ÀÏÀ¸Å°´Â ¿©·¯ ¿øÀεé ÁßÀÇ ÇϳªÀÏ »ÓÀÌ¸ç ¿äÅëÀÌ °ð µð½ºÅ©¸¦ ÀǹÌÇÏ´Â °ÍÀº ¾Æ´Õ´Ï´Ù.
¸ÕÀú ôÃ߸¦ ±¸¼ºÇÏ´Â ±¸Á¶¹°ÀÌ ¾î¶² °ÍµéÀÌ ÀÖ´ÂÁö ¾Ë¸é ¿äÅëÀÇ ¿øÀÎÀ» ¾Ë±â°¡ ½±½À´Ï´Ù. ôÃ߸¦ ±¸¼ºÇÏ´Â ±¸Á¶¹°Àº Å©°Ô ôÃß»À, µð½ºÅ©, Àδë, ±ÙÀ°, ½Å°æ ´Ù¼¸ °¡Áö ±¸¼º¿ä¼Ò·Î ÀÌ·ç¾îÁ® ÀÖ½À´Ï´Ù. ÀÌ ±¸¼º¿ä¼Ò °¡¿îµ¥ ¾î´À °÷ÀÌ¶óµµ ¹®Á¦°¡ »ý±â¸é ¿äÅëÀÌ À¯¹ßµÉ ¼ö ÀÖ½À´Ï´Ù.
¿¹¸¦ µé¸é ôÃß»À¿¡ ¹®Á¦°¡ »ý±â´Â °æ¿ì´Â ³ëÀÎÀÇ °æ¿ì °ñ´Ù°øÁõ¼º ¾Ð¹Ú°ñÀýÀÌ ÈçÇÏ°í µð½ºÅ©ÀÇ °æ¿ì ÈçÈ÷ º´¸íÀ¸·Î ¿ÀÇØÇϰí ÀÖ´Â °æ¿ì°¡ ¸¹À¸³ª ½ÇÁ¦ À̰ÍÀº ôÃß»À »çÀÌ¿¡ Ãæ°ÝÀ» Èí¼öÇØÁÖ´Â Äí¼Ç ¿ªÇÒÀ» ÇÏ´Â ±¸Á¶¹° À̸§À̰í Á¤½Äº´¸íÀº µð½ºÅ© Å»ÃâÁõÀ̶ó°í ÇÕ´Ï´Ù. Àδë¿Í ±ÙÀ°ÀÇ °æ¿ì ¹«°Å¿î ¹°°ÇÀ» µé°Å³ª Ç㸮¸¦ »ß²ýÇßÀ» ¶§ ôÃßÁÖº¯ Àδë¿Í ±ÙÀ°ÀÌ ´ÙÃÆÀ» ¶§ º¸Åë ¿äÃß¿°Á¶ó´Â º´¸íÀ» ¾¹´Ï´Ù. ½Å°æ¿¡´Â Á¾¾ç °°Àº °ÍÀÌ ¹ß»ýÇßÀ» ¶§ ¿äÅëÀÌ ¹ß»ýµÉ ¼ö ÀÖ½À´Ï´Ù. ±×¸®°í ¿äÅëÀ» ¹ß»ý½Ã±â¿¡ µû¶ó¼ ±Þ¼º°ú ¸¸¼º¿äÅëÀ¸·Î ±¸ºÐÇÒ ¼öµµ ÀÖ½À´Ï´Ù. ¸¸¼º¿äÅëÀº ¿äÅë ¹ß»ý ÈÄ 12ÁÖ ÀÌ»ó ¿äÅëÀÌ °è¼ÓµÉ ¶§ ¸¸¼ºÀ̶ó´Â ¸»À» ¾¹´Ï´Ù.
°Á÷¼º ôÃß¿°Àº ôÃß»À¿Í °ñ¹Ý»À »çÀÌÀÇ °üÀý(õÀå°üÀý)¿¡ ¸¸¼º °üÀý¿°ÀÌ ¹ß»ýÇϸç, ôÃß °üÀýÀÌ ¼·Î ºÙÀ¸¸é¼ ôÃß Àδ밡 ´ë³ª¹«Ã³·³ ¼ÓÀÌ ÅÖ ºó ¾àÇÑ »À·Î ¹Ù²î´Â º´ÀÔ´Ï´Ù. Ư¼öÇÑ ¸é¿ªÀ¯ÀüÀû ¿øÀΰú ȯ°æ¿äÀÎÀÌ °Á÷¼º ôÃß¿°À» ¹ß»ý½ÃŲ´Ù°í ¾Ë·ÁÁ® ÀÖÀ¸³ª ¾ÆÁ÷ ¿øÀÎÀÌ È®½ÇÈ÷ ¹àÇôÁø °ÍÀº ¾Æ´Õ´Ï´Ù.
ÁÁÁö ¾ÊÀº ÀÚ¼¼¸¦ Àå½Ã°£ À¯ÁöÇϰųª ¹Ýº¹ÀûÀ¸·Î ÃëÇϰųª ÀÛ¾÷ ½Ã ºÎÁ·ÇÑ È޽Ľð£ µîÀº °æÃß³ª ¾î±ú ÁÖÀ§ÀÇ ±ÙÀ°À» ºÒÇÊ¿äÇÏ°Ô ±äÀå½ÃÄÑ ±ÙÀ° ³» ¾Ð·ÂÀ» Áõ°¡½ÃÄÑ ÅëÁõÀ» À¯¹ßÇϰí À̰ÍÀÌ ¸¸¼ºÈ°¡ µÉ °æ¿ì¿¡´Â Á¤»óÀûÀÎ °æÃßÀÇ °î¼±¸¶Àú º¯È½ÃŰ°Ô µË´Ï´Ù. ƯÈ÷, ÄÄÇ»ÅÍ ¸ð´ÏÅ͸¦ ±¸ºÎÁ¤ÇÏ°Ô ¸ñÀ» ¾ÕÀ¸·Î »©°í º»´ÙµçÁö Ã¥À» º¸°Å³ª °øºÎÇÒ ¶§ ¿õÅ©¸®°í ÇÏ´Â ½À°ü µîÀÌ °¡Àå ÈçÈ÷ º¸´Â ÁÁÁö ¾ÊÀº ÀÚ¼¼ÀÔ´Ï´Ù.
±Ù·Â ¾àȳª À߸øµÈ ÀÚ¼¼·Î »ý±ä ÅëÁõÀº ÀϽÃÀûÀÎ Ä¡·á¸¸ Àû¿ëÇÏ°Ô µÇ¸é ôÃßÀÇ ºÒ¾ÈÁ¤ÇÑ »óŰ¡ ´õ ½ÉÇØÁ® ÅëÁõÀÌ ½±°Ô Àç¹ßÇÏ°Ô µË´Ï´Ù. À̸¦ ¹æÁöÇÒ ¼ö ÀÖ´Â °ÍÀÌ µµ¼ö¿îµ¿Ä¡·áÀÔ´Ï´Ù. ôÃß±ÙÀ°°ú Àδ븦 °ÈÇÏ¸é µð½ºÅ©°¡ ¹Þ´Â ¾Ð·ÂÀ» ÁÙÀÌ¸ç ½Å°æ±ÙÀÌ Áö³ª°¡´Â ½Å°æ±¸¸ÛÀ» ³ÐÇôÁÖ°Ô µÇ¾î µð½ºÅ© º´ÀÌ ÁøÇàµÇ´Â °ÍÀ» ¿¹¹æÇÒ »Ó¸¸ ¾Æ´Ï¶ó ¼Õ»óµÈ ºÎºÐµµ ÀϺΠȸº¹½Ãų ¼ö ÀÖ´Â ±Ùº»ÀûÀÎ Ä¡·á°¡ µÇ´Â °ÍÀÔ´Ï´Ù. Centaur, Medx, Sling, Huber µîÀ» ÀÌ¿ëÇÏ¿© ôÃßÀÇ ¾ÈÁ¤¼º Çâ»ó ¹× ±Ù·Â °È¸¦ ¸ñÀûÀ¸·Î ½Ç½ÃÇÕ´Ï´Ù. ¶ÇÇÑ Leander table¸¦ ÀÌ¿ëÇÏ¿© ôÃßÀÇ À¯¿¬¼º Çâ»ó°ú ±³Á¤¿¡ µµ¿òÀ» µå¸³´Ï´Ù. ±Ù·Â Çâ»ó¿¡´Â ±ä ½Ã°£ÀÌ °É¸®¹Ç·Î 2~3°³¿ù °£ Àå±âÀûÀ¸·Î ²ÙÁØÇÏ°Ô Ä¡·áÇÏ´Â °ÍÀÌ ÁÁ½À´Ï´Ù.